Different appliances used available
Dr. Saurabh Gandhi offers an variety of orthodontic techniques that can help you straighten your teeth or correct bite issues in more discreet, and even more comfortable ways. Innovations in the field of orthodontics have given way to clear braces, removable teeth aligners, and much more. Dr. Gandhi can meet with you to discuss your goals and help you decide which option may be right for you.
Please take a look at some of the types of braces we offer.
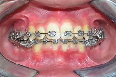
FIXED ORTHODONTIC APPLIANCE:-
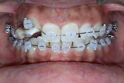
Metal brackets:-
Traditional braces have undergone a number of positive changes over the years, with designs that make them more comfortable and less noticeable to previous one. These tried-and-true orthodontic techniques can work wonders for straightening your teeth and improving your smile.
Metal Braces Benefits:- Often described as not being the most aesthetically pleasing method of straightening a person’s teeth, the fact is that metal braces are a highly effective, and often a more cost-effective alternative to other treatments. Plus, advances in orthodontics have made these commonly performed braces treatments more hassle-free, more hygienic, and less visible to others.
Benefits of metal braces include:
- Metal braces are often less expensive than other types
- Innovations in design have made some metal braces more comfortable and more aesthetically pleasing
- Metal braces are highly durable
Metal braces can dramatically improve the most seriously misaligned teeth and have you smiling with straighter teeth for years to come.
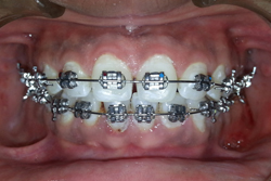
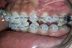
Ceramic brackets:-
With today’s orthodontic techniques, you don’t have to worry about having a “metal-mouth” to bring your teeth into a better position. Many new and effective braces treatments involve methods that are virtually invisible to others, helping you straighten your teeth without everyone having to know. The high quality material we use, doesn’t stain and perfectly merge with your teeth.
Clear Braces Benefits:-
Clear braces often encompass both sapphire and ceramic braces. They are tinted to match the color of your teeth. These types of braces function very similarly to traditional metal braces, but they are designed specifically to be less visible in your mouth.
Benefits of Clear braces include:
- Translucent or ceramic braces are less visible than metal braces
- Brackets are designed to be stain-resistant
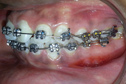
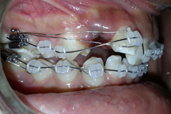
Self Ligating brackets:-
How would you like to attain straighter teeth in a more comfortable and more hygienic way? Self-ligating brackets have literally changed the face of orthodontic treatment and made the process faster and more comfortable. Using a “self-ligating” technique, these braces require no steel or elastic ties to hold the wires in place. This greatly helps in alleviating pressure while the teeth move into a better position. Both treatment time and follow-up visits to our orthodontist are reduced with the innovative Self-Ligating Bracket System. In these appliances the pressure we use to move the teeth is much lesser so you don’t feel any pain during treatment, plus these brackets doesn’t have have any sharp edges so there won’t be any ulceration during treatment.
Self Ligating Braces Benefits:-
- These (Damon) Braces often times do not require the extraction of healthy teeth or other techniques to make space in your mouth.
- Traditional braces often require metal or elastic ties to hold wires together, typically resulting in a feeling of pressure and discomfort among the teeth while they are moving into the desired position. The Damon System utilizes a technology called self-ligation, a process which eliminates the need for the ties and lessens the feeling of tightness during treatment.
- Plus, Damon braces use shape-memory wires that are able to move the teeth into position faster, ultimately cutting treatment time.
- Damon braces also diminish the amount of food and moisture that can become trapped along the brackets, allowing for more efficient teeth cleaning.
- Even better, Damon braces are available with clear brackets to lessen the visual impact and give you a more aesthetically pleasing smile during treatment.
- Less overall treatment time
- Less time spent in the orthodontist’s chair
- More comfortable and less pressure on the teeth
- More aesthetically pleasing
- Fewer follow-up exams
Clear Aligners:-
One of the most state-of-the-art orthodontic advances to come along in decades, is a system of clear teeth aligners that you can remove for eating, drinking, and daily teeth cleaning. Each aligner is designed to progressively move your teeth into the desired position, and the treatment often takes less time than traditional braces to achieve great results.
With this system you can see the final position of your teeth even before starting the treatment.
The field of orthodontics has seen a number of innovations over the years, and one of the biggest advances to date is Clear Aligner. This effective method of straightening your teeth involves no metal braces and reduces much of the hassle associated with traditional orthodontic techniques. This is a system of removable, clear tooth aligners that gradually pull your teeth into the desired position in a more comfortable treatment process. With these, you can achieve straighter teeth and a brighter smile that are virtually unnoticeable to others!
Clear Aligners Benefits:-
- Virtually invisible.
- Aligners that are removable for eating, drinking, and teeth cleaning
- No metal brackets or wires
- More comfortable teeth positioning
- Less time spent in the orthodontist’s chair
- Less frequent follow-up office visits
- This system is very helpful for person who doesn’t want other to notice that they are having orthodontic treatment,
- or people who have to pose a lot like models, actor, etc,
- or for person who is very foodie and can’t control his/her food habit during treatment which are often necessary in traditional brackets,
- or for those person who are in contact sports, where wearing brackets can be dangerious.
- Or for the persons how are very susceptible to ulceration, cause in this there is no wire , no bracket.
- Better maintenance of oral hygiene cause they are removable by patient only so no hassle in cleaning the teeth as usually occurs in normal bracket treatment. The aligners can be taken out for eating, drinking, and brushing and flossing.
- Plus, many patients often achieve optimal results in less time than it takes with metal braces.
- It is very useful for persons who keep on shifting places, or peoples who are mainly on tour so can’t come for monthly visit, cause in this system you don’t have to come on regular visit, but you can choose your own preference, or even better we can give you complete set of aligners, so during treatment you don’t even have to come, you just have to visit us twice before starting of treatment and once after completion of treatment, which take your comfort to highest level .
So Clear Aligners are a wires-free, more comfortable, and less hassle-prone experience for a large number of patients who would like to straighten their teeth.
Clear Aligner Procedure:-
During the procedure, Dr. Saurabh Gandhi will first take an impression of your teeth so that the aligners can be custom-created for your mouth. Once the aligners have been designed, you will be given a series of trays to take home with you. Each set of clear tooth aligners is worn for about two weeks, and is then changed out for the next tray in the series. The aligners are each slightly modified from the tray that comes before it, progressively pulling your teeth into a straighter position over a period of about 6 to 15 months.
Dr. Saurabh Gandhi will follow-up with you periodically during this treatment to check on your progress. After about 6 months you should start seeing significant results!
Clear Aligners can not only help adults with effective and discreet orthodontic treatment, they can also be used to bring teenagers’ teeth into better alignment. Clear and removable teeth aligners can be helpful for adolescents who may be worried about shouts of “metal-mouth” from their peers.
Teenagers who need orthodontic treatment are often most concerned with the effect that braces will have on their appearance. But with these, the days of “metal-mouth” and “brace-face” may be over. These removable, clear aligners can be effective alternatives to braces, and even provide results in a shorter amount of time.
(a) Removable Orthontic Appliance:-
Can only be used only in selected simple cases. There option is limited cause they are not able to bring all kind of tooth movement. But simple movement can be achieved with it very easily and effectively.
As they are removable patient co-operation is very important, as these appliance have to worn 22 hours a day.
After the desire treatment result, these appliances are left in place as same to be works as a retainer.
Usual treatment duration is 6 months for these appliances.
(b) Appliance:-
These appliances are known so because they use the muscle action from speaking, eating, and swallowing to create forces that move teeth and align the jaws.
Some functional appliances are removable, while others are bonded to the teeth.
A functional appliance may fit between the upper and lower teeth (a splint) or may span across the mouth between the molars, pressing the bone outward.
These appliances can bring very dramatic changes to face, and are especially useful in growing individuals.





(c) Retainer:-
Are removable appliances made of molded plastic and wire. They hold the teeth in place after braces are taken off. If the teeth start to move back out of position, the orthodontist may bond a short retaining wire to the back of some teeth. This wire will hold the teeth in place.
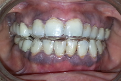
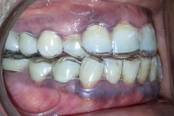
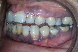
We even provide Essix Retainer ( 3-d retainer), made up of clear plastic which is very comfortable to wear, and very esthetic mean nearly invisible and provide maximum retention after orthodontic treatment. Above this with this we can provide you a solution that can whiten your teeth without any trouble and that too at your home.
Removable Retainer:


Bonded Retainer:


Essx Retainer:





















